Sốt kéo dài, đau vùng hạ sườn phải tưởng chỉ là nhiễm trùng, người đàn ông 65 tuổi đi khám và được phát hiện ung thư gan tiến triển trên nền viêm gan B mạn tính.
![]() |
| Ung thư gan là một trong 6 loại ung thư phổ biến nhất thế giới. Ảnh minh họa: Đinh Hà. |
Tháng 10/2023, ông Đ.H.M. (65 tuổi) nhập viện vì sốt kéo dài kèm đau vùng hạ sườn phải. Ban đầu, các triệu chứng khiến người bệnh nghĩ nhiều đến tình trạng nhiễm trùng thông thường. Tuy nhiên, đây lại là dấu hiệu cảnh báo đợt tiến triển của ung thư gan trên nền viêm gan B mạn tính.
Theo hồ sơ bệnh án, bệnh nhân có tiền sử viêm gan B nhiều năm, đang điều trị bằng Tenofovir 300 mg/ngày. Năm 2019, ông được chẩn đoán ung thư biểu mô tế bào gan (UTBMTBG) và đã trải qua 6 lần nút mạch hóa chất (TACE) tại các cơ sở y tế tuyến trung ương và địa phương.
Sau lần TACE thứ 6 vào tháng 10/2023, bệnh nhân xuất hiện đau nhiều vùng hạ sườn phải kèm sốt. Các bác sĩ xác định người bệnh bị áp xe gan và điều trị nội khoa ổn định trước khi chuyển đến Trung tâm Y học hạt nhân và Ung bướu, Bệnh viện Bạch Mai, để tiếp tục theo dõi và đánh giá hướng điều trị.
Khi nhập viện, bệnh nhân tỉnh táo, thể trạng trung bình, sinh hoạt bình thường, chỉ số toàn trạng PS = 0. Các xét nghiệm cơ bản không ghi nhận bất thường rõ rệt, song chỉ số AFP – một dấu ấn ung thư gan – tăng rất cao, lên tới 648,1 ng/ml. Kết quả đánh giá cho thấy bệnh nhân mắc UTBMTBG giai đoạn BCLC B, xơ gan Child-Pugh A, viêm gan B, đã điều trị TACE nhiều lần.
Trước nguy cơ bệnh tiến triển và không còn nhiều lựa chọn can thiệp tại chỗ, hội đồng ung thư tiêu hóa thống nhất chuyển hướng sang điều trị toàn thân bằng phác đồ phối hợp Atezolizumab và Bevacizumab. Đây là phác đồ kết hợp giữa liệu pháp miễn dịch và thuốc kháng tạo mạch, được sử dụng theo chu kỳ 21 ngày.
Trong suốt quá trình điều trị, người bệnh dung nạp thuốc tốt, không gặp tác dụng phụ nghiêm trọng. Bệnh nhân không mệt mỏi, không đau bụng, ăn uống tốt, tăng 3 kg và duy trì sinh hoạt gần như bình thường.
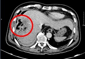
![]() |
| Hình ảnh chụp cắt lớp vi tính ổ bụng của bệnh nhân. Ảnh: BVCC. |
Đáng chú ý, chỉ số AFP giảm mạnh theo thời gian, từ 648,1 ng/ml vào thời điểm bắt đầu điều trị xuống còn 9,2 ng/ml sau 20 chu kỳ, tiệm cận ngưỡng bình thường. Các kết quả chụp cắt lớp vi tính cũng ghi nhận khối u gan thu nhỏ rõ rệt, không còn tăng sinh mạch hay huyết khối. Kích thước u giảm từ 81 x 51 mm xuống còn khoảng 22 x 45 mm. Theo tiêu chuẩn RECIST 1.1, bệnh nhân đạt đáp ứng một phần.
Theo các bác sĩ, đây là trường hợp ung thư gan giai đoạn trung gian đã điều trị TACE nhiều lần nhưng vẫn đáp ứng rất tốt với phác đồ miễn dịch – kháng tạo mạch. Kết quả này không chỉ giúp kiểm soát bệnh hiệu quả mà còn mở ra khả năng đưa người bệnh từ nhóm không còn chỉ định phẫu thuật trở lại diện có thể cân nhắc can thiệp trong tương lai.
Trong thời gian tới, bệnh nhân sẽ tiếp tục được duy trì phác đồ điều trị hiện tại và theo dõi chặt chẽ để phát hiện sớm các thay đổi bất thường, hướng tới mục tiêu kiểm soát bệnh lâu dài.
Theo số liệu GLOBOCAN 2022, ung thư gan là một trong 6 loại ung thư phổ biến nhất thế giới, với hơn 866.000 ca mắc mới và gần 759.000 ca tử vong mỗi năm. Tại Việt Nam, ung thư gan nằm trong nhóm 3 ung thư thường gặp nhất, với khoảng 24.500 ca mắc mới và hơn 23.300 ca tử vong.
PGS.TS Phạm Cẩm Phương, Trung tâm Y học hạt nhân và Ung bướu, Bệnh viện Bạch Mai, cho biết điều trị ung thư gan hiện nay cần cá thể hóa theo giai đoạn bệnh và thể trạng người bệnh. Phẫu thuật vẫn là phương pháp chủ đạo ở giai đoạn sớm.
“Tuy nhiên, với các trường hợp tiến triển hoặc không còn chỉ định can thiệp tại chỗ, điều trị toàn thân, đặc biệt là các phác đồ kết hợp miễn dịch và kháng tạo mạch như Atezolizumab – Bevacizumab, đang cho thấy hiệu quả rõ rệt trong cải thiện thời gian sống và kiểm soát bệnh”, BS Cẩm Phương nói.
Các bác sĩ khuyến cáo người dân nên hạn chế uống rượu bia, đồng thời duy trì khám sức khỏe định kỳ, tầm soát chức năng gan 1-2 lần mỗi năm, đặc biệt ở nhóm có thói quen uống rượu thường xuyên. Việc chủ động kiểm tra giúp phát hiện sớm tổn thương gan, từ đó can thiệp kịp thời và giảm nguy cơ tiến triển thành xơ gan hoặc ung thư gan, những biến chứng có thể đe dọa tính mạng.

